Aktualizacja 1 kwietnia 2026
Bezśrubowe implanty dentystyczne zyskują na popularności wśród pacjentów i stomatologów, a ich zalety są liczne i różnorodne. Przede wszystkim, jednym z głównych atutów tych implantów jest uproszczony proces ich wszczepienia. Dzięki innowacyjnej konstrukcji, nie wymagają one użycia śrub, co znacząco skraca czas zabiegu oraz minimalizuje dyskomfort pacjenta. Warto również zwrócić uwagę na to, że brak śrub oznacza mniejsze ryzyko powikłań związanych z ich odrzuceniem przez organizm. Kolejną zaletą jest estetyka – bezśrubowe implanty są często bardziej naturalnie wyglądające, co ma duże znaczenie dla wielu pacjentów. Dodatkowo, ich zastosowanie może prowadzić do szybszej regeneracji tkanek wokół implantu, co przyspiesza cały proces gojenia. Warto także podkreślić, że bezśrubowe implanty mogą być stosowane w różnych sytuacjach klinicznych, co czyni je wszechstronnym rozwiązaniem dla osób potrzebujących odbudowy uzębienia.
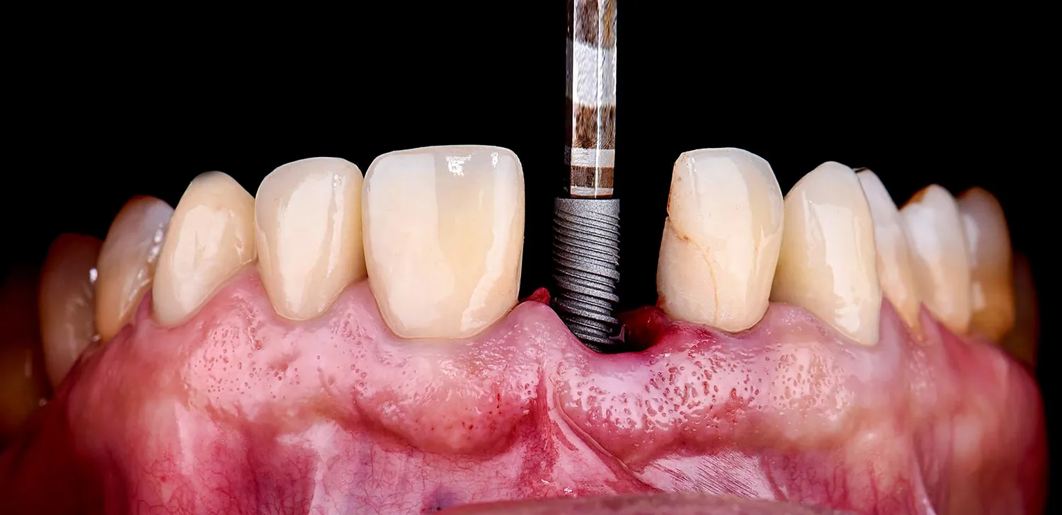
Jak wygląda proces wszczepiania bezśrubowych implantów?

Proces wszczepiania bezśrubowych implantów dentystycznych jest skomplikowanym, ale jednocześnie dobrze zorganizowanym przedsięwzięciem. Na początku lekarz stomatolog przeprowadza szczegółową diagnostykę, która obejmuje badania obrazowe oraz ocenę stanu zdrowia pacjenta. Następnie, po ustaleniu odpowiednich wskazań do zabiegu, przystępuje do planowania wszczepienia implantu. W przypadku bezśrubowych implantów kluczowym etapem jest przygotowanie kości szczęki lub żuchwy, co może wymagać dodatkowych zabiegów, takich jak augmentacja kości. Kiedy wszystko jest gotowe, lekarz wykonuje precyzyjne nacięcie w dziąśle i umieszcza implant w kości. Dzięki nowoczesnym technologiom i zastosowaniu specjalnych narzędzi, cały proces przebiega szybko i sprawnie. Po umieszczeniu implantu następuje okres gojenia, który może trwać od kilku tygodni do kilku miesięcy, w zależności od indywidualnych predyspozycji pacjenta oraz jakości tkanki kostnej.
Czym różnią się bezśrubowe implanty od tradycyjnych?
Różnice między bezśrubowymi a tradycyjnymi implantami dentystycznymi są istotne i mają wpływ na wybór metody leczenia przez pacjentów oraz lekarzy stomatologów. Przede wszystkim najważniejszą różnicą jest sposób mocowania implantu do kości. Tradycyjne implanty wykorzystują śruby do stabilizacji w kości, co może wiązać się z większym ryzykiem powikłań oraz dłuższym czasem gojenia. Bezśrubowe implanty natomiast opierają się na innowacyjnej technologii, która pozwala na ich stabilizację bez użycia dodatkowych elementów mocujących. To sprawia, że proces ich wszczepienia jest mniej inwazyjny i bardziej komfortowy dla pacjenta. Kolejną różnicą jest estetyka – bezśrubowe implanty często lepiej imitują naturalne zęby i są mniej widoczne w jamie ustnej. Różnice te mają również wpływ na koszty leczenia oraz czas potrzebny na zakończenie całego procesu odbudowy uzębienia.
Jakie są opinie pacjentów o bezśrubowych implantach?
Opinie pacjentów na temat bezśrubowych implantów dentystycznych są zazwyczaj bardzo pozytywne i pełne entuzjazmu. Wielu pacjentów docenia przede wszystkim komfort związany z procedurą wszczepienia oraz mniejszy ból po zabiegu w porównaniu do tradycyjnych metod. Osoby, które zdecydowały się na ten typ implantu często podkreślają również estetykę – wiele z nich zauważa, że efekty końcowe wyglądają bardzo naturalnie i nie różnią się od prawdziwych zębów. Pacjenci cenią sobie także krótszy czas gojenia oraz mniejsze ryzyko powikłań związanych z brakiem śrub mocujących. Oczywiście jak w każdej dziedzinie medycyny istnieją także osoby niezadowolone z efektów leczenia lub z przebiegu samego zabiegu, jednak ogólna tendencja wskazuje na wysoką satysfakcję z wyboru bezśrubowych implantów dentystycznych.
Jakie są koszty związane z bezśrubowymi implantami dentystycznymi?
Koszty związane z bezśrubowymi implantami dentystycznymi mogą się znacznie różnić w zależności od wielu czynników, takich jak lokalizacja gabinetu stomatologicznego, doświadczenie lekarza oraz specyfika przypadku pacjenta. W ogólnym ujęciu, ceny bezśrubowych implantów mogą być wyższe niż tradycyjnych, co często wynika z zastosowania nowoczesnych technologii oraz materiałów. Warto jednak zauważyć, że inwestycja w bezśrubowe implanty może przynieść długoterminowe korzyści, takie jak mniejsze ryzyko powikłań oraz szybszy czas gojenia, co może obniżyć całkowity koszt leczenia w perspektywie długoterminowej. Wiele gabinetów oferuje różne formy finansowania lub możliwość rozłożenia płatności na raty, co może ułatwić pacjentom podjęcie decyzji o leczeniu. Dodatkowo, warto zwrócić uwagę na to, że niektóre ubezpieczenia zdrowotne mogą pokrywać część kosztów związanych z wszczepieniem implantu, dlatego zawsze warto skonsultować się z ubezpieczycielem przed rozpoczęciem leczenia.
Jakie są najczęstsze pytania dotyczące bezśrubowych implantów?
Wielu pacjentów ma liczne pytania dotyczące bezśrubowych implantów dentystycznych, co jest naturalne w kontekście tak ważnej decyzji dotyczącej zdrowia jamy ustnej. Jednym z najczęstszych pytań jest to, jak długo trwa proces gojenia po wszczepieniu implantu. Czas ten może się różnić w zależności od indywidualnych predyspozycji pacjenta oraz jakości tkanki kostnej, ale zazwyczaj wynosi od kilku tygodni do kilku miesięcy. Kolejnym popularnym pytaniem jest to, czy bezśrubowe implanty są odpowiednie dla każdego pacjenta. Odpowiedź na to pytanie zależy od wielu czynników, takich jak stan zdrowia pacjenta oraz jego oczekiwania. Pacjenci często pytają również o ryzyko powikłań związanych z tym rodzajem implantu i czy istnieją jakieś przeciwwskazania do ich stosowania. Ważne jest, aby przed podjęciem decyzji o leczeniu skonsultować się ze specjalistą, który odpowie na wszystkie wątpliwości i pomoże w dokonaniu najlepszego wyboru.
Jak dbać o bezśrubowe implanty dentystyczne po ich wszczepieniu?
Dbanie o bezśrubowe implanty dentystyczne po ich wszczepieniu jest kluczowe dla zapewnienia ich długotrwałej funkcjonalności i estetyki. Po pierwsze, niezwykle ważne jest przestrzeganie zaleceń lekarza stomatologa dotyczących higieny jamy ustnej. Regularne szczotkowanie zębów oraz używanie nici dentystycznej powinno stać się codziennym nawykiem. Pacjenci powinni także unikać twardych pokarmów przez pierwsze tygodnie po zabiegu, aby nie obciążać implantu w fazie gojenia. Warto również regularnie odwiedzać stomatologa na kontrole oraz profesjonalne czyszczenie zębów, co pozwoli na monitorowanie stanu implantu i otaczających tkanek. Ponadto, osoby palące powinny rozważyć ograniczenie lub zaprzestanie palenia tytoniu, ponieważ może to negatywnie wpłynąć na proces gojenia i stabilność implantu.
Jakie są najnowsze osiągnięcia w dziedzinie bezśrubowych implantów?
W dziedzinie bezśrubowych implantów dentystycznych następuje ciągły rozwój technologii i innowacji, które mają na celu poprawę skuteczności oraz komfortu leczenia. Jednym z najnowszych osiągnięć jest zastosowanie zaawansowanych materiałów biokompatybilnych, które lepiej integrują się z tkankami kostnymi pacjenta i przyspieszają proces gojenia. Ponadto rozwijają się technologie cyfrowe umożliwiające precyzyjne planowanie zabiegów oraz wykorzystanie druku 3D do produkcji indywidualnych implantów dopasowanych do potrzeb konkretnego pacjenta. Dzięki tym innowacjom możliwe jest osiągnięcie jeszcze lepszych wyników estetycznych oraz funkcjonalnych. Również techniki chirurgiczne stają się coraz bardziej zaawansowane – lekarze stosują minimalnie inwazyjne metody wszczepiania implantów, co znacząco zmniejsza ból i czas rekonwalescencji dla pacjentów.
Jakie są różnice między różnymi typami implantów dentystycznych?
Różnice między różnymi typami implantów dentystycznych są istotne dla wyboru odpowiedniej metody leczenia przez pacjentów oraz lekarzy stomatologów. Najpopularniejsze typy to implanty jednoetapowe i dwuetapowe. Implanty jednoetapowe są wszczepiane jednocześnie z zabiegiem augmentacji kości lub innych procedur przygotowawczych, co skraca czas całego procesu leczenia. Z kolei implanty dwuetapowe wymagają wcześniejszego umieszczenia implantu w kości i czekania na jego integrację przed wykonaniem odbudowy protetycznej. Kolejnym aspektem różnicującym implanty jest ich kształt – dostępne są zarówno implanty cylindryczne, jak i stożkowe, które różnią się sposobem osadzenia w kości oraz stabilnością. Materiał użyty do produkcji implantu również ma znaczenie – najczęściej stosuje się tytan ze względu na jego biokompatybilność oraz odporność na korozję.
Jakie są alternatywy dla bezśrubowych implantów dentystycznych?
Alternatywy dla bezśrubowych implantów dentystycznych obejmują szereg różnych metod odbudowy uzębienia, które mogą być dostosowane do indywidualnych potrzeb pacjentów. Jedną z najpopularniejszych opcji są tradycyjne implanty śrubowe, które mimo większej inwazyjności mogą być skuteczne w wielu przypadkach klinicznych. Inną alternatywą są mostki protetyczne mocowane do naturalnych zębów lub istniejących implantów – ta metoda może być korzystna dla osób z niewielką utratą uzębienia. Dla pacjentów poszukujących mniej inwazyjnych rozwiązań dostępne są również protezy ruchome lub stałe, które można łatwo usunąć lub wymienić w razie potrzeby. Warto również wspomnieć o nowoczesnych technologiach regeneracyjnych takich jak terapia komórkami macierzystymi czy inżynieria tkankowa, które mogą wspierać proces odbudowy kości i tkanek wokół implantu lub naturalnego uzębienia.







